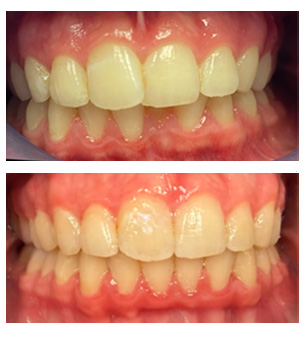
As your trusted dentist in West Chicago, we welcome patients of all ages for care and offer a wide range of dental services designed to meet the needs of every member of your family. Our dentist and office team are dedicated to helping patients maintain optimal oral health and enjoy the benefits of a beautiful smile. Providing the highest quality of care, we do our very best to make every visit to our office a comfortable and satisfying experience.

Offering the most advanced dental services, we provide precise and gentle care in an environment that is compassionate, relaxing and stress-free. Whether you or any member of your family, need preventive care, fillings, a cosmetic smile makeover, crowns, dentures, the replacement of missing teeth or any other outstanding services we offer, we are well equipped to address your dental needs.
You can rest assured that your smile and those of your loved ones are in the very best of hands at our office. At West Chicago Smiles, we maintain an unwavering commitment to excellence, providing skilled, state-of-the-art treatment to achieve exceptional results of care.

Have a Question? Feel free to give us a call at (630) 231-4500 or email westchicagosmiles369@gmail.com.