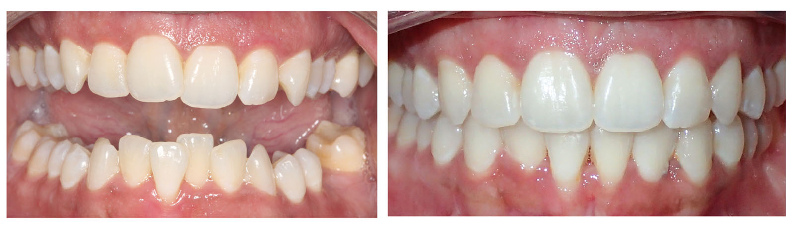
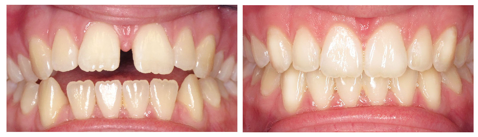
A New Era in Orthodontics
We've partnered with Evenly Orthodontics to offer Invisalign®, the world's most advanced clear aligner system. With over twelve million successful cases, Invisalign® is the world's leading provider of healthy, beautiful smiles. To discuss Invisalign® in the Chicago, IL area, please feel free to schedule your FREE appointment.




